Your privacy, your choice

We use essential cookies to make sure the site can function. We also use optional cookies for advertising, personalisation of content, usage analysis, and social media.

By accepting optional cookies, you consent to the processing of your personal data - including transfers to third parties. Some third parties are outside of the European Economic Area, with varying standards of data protection.

See our privacy policy for more information on the use of your personal data.

for further information and to change your choices.

Skip to main content

Advertisement

Log in

Ultra-high resolution CT imaging of interstitial lung disease: impact of photon-counting CT in 112 patients

  • Chest
  • Published:
European Radiology Aims and scope Submit manuscript

A Commentary to this article was published on 18 April 2023

Abstract

Objectives

To compare lung parenchyma analysis on ultra-high resolution (UHR) images of a photon-counting CT (PCCT) scanner with that of high-resolution (HR) images of an energy-integrating detector CT (EID-CT).

Methods

A total of 112 patients with stable interstitial lung disease (ILD) were investigated (a) at T0 with HRCT on a 3rd-generation dual-source CT scanner; (b) at T1 with UHR on a PCCT scanner; (c) with a comparison of 1-mm-thick lung images.

Results

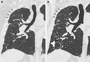
Despite a higher level of objective noise at T1 (74.1 ± 14.1 UH vs 38.1 ± 8.7 UH; p < 0.0001), higher qualitative scores were observed at T1 with (a) visualization of more distal bronchial divisions (median order; Q1–Q3) (T1: 10th division [9–10]; T0: 9th division [8–9]; p < 0.0001); (b) greater scores of sharpness of bronchial walls (p < 0.0001) and right major fissure (p < 0.0001). The scores of visualization of CT features of ILD were significantly superior at T1 (micronodules: p = 0.03; linear opacities, intralobular reticulation, bronchiectasis, bronchiolectasis, and honeycombing: p < 0.0001), leading to the reclassification of 4 patients with non-fibrotic ILD at T0, recognized with fibrotic ILD at T1. At T1, the mean (± SD) radiation dose (CTDI vol: 2.7 ± 0.5 mGy; DLP: 88.5 ± 21 mGy.cm) was significantly lower than that delivered at T0 (CTDI vol: 3.6 ± 0.9 mGy; DLP: 129.8 ± 31.7 mGy.cm) (p < 0.0001), corresponding to a mean reduction of 27% and 32% for the CTDIvol and DLP, respectively.

Conclusions

The UHR scanning mode of PCCT allowed a more precise depiction of CT features of ILDs and reclassification of ILD patterns with significant radiation dose reduction.

Clinical relevance statement

Evaluation of lung parenchymal structures with ultra-high-resolution makes subtle changes at the level of the secondary pulmonary lobules and lung microcirculation becoming visually accessible, opening new options for synergistic collaborations between highly-detailed morphology and artificial intelligence.

Key Points

• Photon-counting CT (PCCT) provides a more precise analysis of lung parenchymal structures and CT features of interstitial lung diseases (ILDs).

• The UHR mode ensures a more precise delineation of fine fibrotic abnormalities with the potential of modifying the categorization of ILD patterns.

• Better image quality at a lower radiation dose with PCCT opens new horizons for further dose reduction in noncontrast UHR examinations.

This is a preview of subscription content, log in via an institution to check access.

Access this article

Subscribe and save

Springer+ Basic
¥17,985 /Month
  • Get 10 units per month
  • Download Article/Chapter or eBook
  • 1 Unit = 1 Article or 1 Chapter
  • Cancel anytime
Subscribe now

Buy Now

Price includes VAT (Japan)

Instant access to the full article PDF.

Fig. 1
Fig. 2
Fig. 3
Fig. 4
Fig. 5
Fig. 6

Similar content being viewed by others

Explore related subjects

Discover the latest articles and news from researchers in related subjects, suggested using machine learning.

Abbreviations

CTDI vol :

Computed tomography dose index volumic

DLP :

Dose-length-product

EID-CT:

Energy-integrating-detector CT

HR:

High resolution

ILD:

Interstitial lung disease

PCCT:

Photon-counting CT

UHR:

Ultra-high resolution

References

  1. Willemink MJ, Persson M, Pourmorteza A et al (2018) Photon counting CT: technical principles and clinical prospects. Radiology 289:293–312

    Article  PubMed  Google Scholar 

  2. Flohr T, Petersilka M, Henning A et al (2020) Photon-counting CT review. Phys Med 79:126–136

    Article  PubMed  Google Scholar 

  3. Rajendran K, Petersilka M, Henning A et al (2022) First clinical photon-counting detector CT System: technical evaluation. Radiology 303:130–138

    Article  PubMed  Google Scholar 

  4. Kopp FK, Daerr H, Si-Mohamed S et al (2018) Evaluation of a preclinical photon-counting CT prototype for pulmonary imaging. Sci Rep 8:17386

    Article  PubMed  PubMed Central  Google Scholar 

  5. Shanbhag SM, Schuzer JL, Steveson C et al (2019) Prototype ultrahigh-resolution computed tomography for chest imaging: initial human experience. J Comput Assist Tomogr 43:805–810

    Article  PubMed  Google Scholar 

  6. Si-Mohamed S, Boccalini S, Rodesch PA et al (2021) Feasibility of lung imaging with a large field-of-view spectral photon-counting CT system. Diag Interv Imaging 102:305–312

    Article  Google Scholar 

  7. Symons R, Pourmorteza A, Sandfort V et al (2017) Feasibility of dose-reduced chest CT with photon-counting detectors: initial results in humans. Radiology 285:980–989

    Article  PubMed  Google Scholar 

  8. Leng S, Rajendran K, Gong H et al (2018) 150-µm spatial resolution using photon-counting detector computed tomography technology. Invest Radiol 53:655–662

    Article  PubMed  PubMed Central  Google Scholar 

  9. Pourmorteza A, Symons R, Henning A et al (2018) Dose efficiency of quarter-millimeter photon-counting computed tomography. Invest Radiol 53:365–372

    Article  PubMed  Google Scholar 

  10. Bartlett DJ, Koo CW, Bartholomai BJ et al (2019). High-resolution chest computed tomography imaging of the lungs. Impact of 1024 matrix reconstruction and photon-counting detector computed tomography. Invest Radiol 54: 129–137

  11. Ferda J, Vendis T, Flohr T et al (2021) Computed tomography with full FOV photon counting detector in a clinical setting, the first experience. Eur J Radiol 137:109614

    Article  PubMed  Google Scholar 

  12. Inoue A, Johnson TF, White D et al (2022). Estimating the clinical impact of photon-counting-detector CT in diagnosing usual interstitial pneumonia. Invest Radiol. https://doi.org/10.1097/RLI.0000000000000888

  13. Raghu G, Remy-Jardin M, Richeldi L et al Idiopathic pulmonary fibrosis (an update) and progressive pulmonary fibrosis in adults. An Official ATS/ERS/JRS/ALAT Clinical Practice Guideline (2022). Am J Respir Crit Care Med 205(9):e18–e47

  14. Yanagawa M, Hata A, Honda O et al (2018) Subjective and objective comparisons of image quality between ultra-high-resolution CT and conventional area detector CT in phantoms and cadaveric human lungs. Eur Radiol 28:5060–5068

    Article  PubMed  PubMed Central  Google Scholar 

  15. Woeltjen MM, Niehoff JH, Michael AE et al (2022) Low-dose high-resolution photon-counting CT of the lung: radiation dose and image quality in the clinical routine. Diagnostics 12:1441

    Article  PubMed  PubMed Central  Google Scholar 

  16. Sartoretti T, Racine D, Mergen V et al (2022) Quantum iterative reconstruction for low-dose ultra-high-resolution photon-counting detector CT of the lung. Diagnostics 2022(12):522

    Article  Google Scholar 

  17. Jungblut L, Euler A, Spiczak J et al (2022). Potential of photon-counting detector CT for radiation dose reduction for the assessment of interstitial lung disease in patients with systemic sclerosis. Invest Radiol 57(12):773–779. https://doi.org/10.1097/RLI.0000000000000895

Download references

Funding

The authors state that this work has not received any funding.

Author information

Authors and Affiliations

Authors

Corresponding author

Correspondence to Martine Remy-Jardin.

Ethics declarations

Guarantor

The scientific guarantor of this publication is Pr Remy-Jardin.

Conflict of interest

Two authors of this manuscript declare relationships with the following companies: Siemens Healthineers, Forchheim, Germany: Thomas Flohr, Siemens employee; -Jacques Remy, consultant.

The remaining authors of this manuscript declare no relationships with any companies whose products or services may be related to the subject matter of the article.

Statistics and biometry

Pr Alain Duhamel kindly provided statistical advice for this manuscript.

Informed consent

Written informed consent was waived by the Institutional Review Board.

Ethical approval

Institutional Review Board approval was obtained.

Methodology

• retrospective

• observational

• performed at one institution

Additional information

Publisher's note

Springer Nature remains neutral with regard to jurisdictional claims in published maps and institutional affiliations.

Supplementary Information

Below is the link to the electronic supplementary material.

Supplementary file1 (DOCX 46 KB)

Rights and permissions

Springer Nature or its licensor (e.g. a society or other partner) holds exclusive rights to this article under a publishing agreement with the author(s) or other rightsholder(s); author self-archiving of the accepted manuscript version of this article is solely governed by the terms of such publishing agreement and applicable law.

Reprints and permissions

About this article

Check for updates. Verify currency and authenticity via CrossMark

Cite this article

Gaillandre, Y., Duhamel, A., Flohr, T. et al. Ultra-high resolution CT imaging of interstitial lung disease: impact of photon-counting CT in 112 patients. Eur Radiol 33, 5528–5539 (2023). https://doi.org/10.1007/s00330-023-09616-x

Download citation

  • Received:

  • Revised:

  • Accepted:

  • Published:

  • Issue Date:

  • DOI: https://doi.org/10.1007/s00330-023-09616-x

Keywords