Your privacy, your choice

We use essential cookies to make sure the site can function. We also use optional cookies for advertising, personalisation of content, usage analysis, and social media.

By accepting optional cookies, you consent to the processing of your personal data - including transfers to third parties. Some third parties are outside of the European Economic Area, with varying standards of data protection.

See our privacy policy for more information on the use of your personal data.

for further information and to change your choices.

Skip to main content
Log in

Imaging obese patients: problems and solutions

  • Published:
Abdominal Imaging Aims and scope Submit manuscript

Abstract

Obesity is an epidemic in the United States and Western World with an associated increasing impact on radiology departments. The increased prevalence of obesity in conjunction with the growing use and success of bariatric surgery results in an influx of obese patients into the health system in need of hospital services and care. Imaging services in particular are in demand in this patient population. Obese patients place special needs upon facilities and imaging equipment and also create technical challenges. This manuscript will address problems and potential solutions for imaging obese patients, specifically with regards to the modalities of radiography, fluoroscopy, computed tomography, and magnetic resonance imaging.

This is a preview of subscription content, log in via an institution to check access.

Access this article

Subscribe and save

Springer+ Basic
¥17,985 /Month
  • Get 10 units per month
  • Download Article/Chapter or eBook
  • 1 Unit = 1 Article or 1 Chapter
  • Cancel anytime
Subscribe now

Buy Now

Price includes VAT (Japan)

Instant access to the full article PDF.

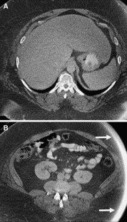
Fig. 1
Fig. 2
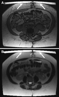
Fig. 3
Fig. 4
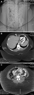
Fig. 5
Fig. 6
Fig. 7
Fig. 8
Fig. 9
Fig. 10
Fig. 11
Fig. 12
Fig. 13
Fig. 14
Fig. 15
Fig. 16
Fig. 17
Fig. 18
Fig. 19
Fig. 20
Fig. 21
Fig. 22

Similar content being viewed by others

Explore related subjects

Discover the latest articles and news from researchers in related subjects, suggested using machine learning.

References

  1. Uppot RN, Sahani DV, Hahn PF, et al. (2006) Effect of obesity on image quality: fifteen-year longitudinal study for evaluation of dictated radiology reports. Radiology 240(2):435–439. doi:10.1148/radiol.2402051110

    Article  PubMed  Google Scholar 

  2. Shah S, Shah V, Ahmed AR, Blunt DM (2011) Imaging in bariatric surgery: service set-up, post-operative anatomy and complications. Br J Radiol 84(998):101–111. doi:10.1259/bjr/18405029

    Article  PubMed  CAS  Google Scholar 

  3. Modica MJ, Kanal KM, Gunn ML (2011) The obese emergency patient: imaging challenges and solutions. Radiographics 31(3):811–823. doi:10.1148/rg.313105138

    Article  PubMed  Google Scholar 

  4. Reynolds A (2011) Obesity and medical imaging challenges. Radiol Technol 82(3):219–239

    PubMed  Google Scholar 

  5. Flegal KM, Carroll MD, Ogden CL, Curtin LR (2010) Prevalence and trends in obesity among US adults, 1999–2008. JAMA 303(3):235–241. doi:10.1001/jama.2009.2014

    Article  PubMed  CAS  Google Scholar 

  6. Buchwald H (2005) Consensus conference statement bariatric surgery for morbid obesity: health implications for patients, health professionals, and third-party payers. Surg Obes Relat Dis 1(3):371–381

    Article  PubMed  Google Scholar 

  7. Uppot RN (2007) Impact of obesity on radiology. Radiol Clin North Am 45(2):231–246. doi:10.1016/j.rcl.2007.03.001

    Article  PubMed  Google Scholar 

  8. Radiology’s Big Challenge: Imaging the “Morbidly Obese”. American College of Radiology. http://gm.acr.org/SecondaryMainMenuCategories/NewsPublications/FeaturedCategories/CurrentHealthCareNews/More/ImagingtheMorbidlyObese.aspx. Accessed on 5 Nov 2011

  9. Overweight and Obesity. Centers for Disease Control and Prevention. http://www.cdc.gov/obesity/data/trends.html. Accessed on February 2012

  10. Puhl R, Brownell KD (2001) Bias, discrimination, and obesity. Obes Res 9(12):788–805. doi:10.1038/oby.2001.108

    Article  PubMed  CAS  Google Scholar 

  11. Rundle RL (2002) U.S.’s Obesity Woes Put a Strain On Hospitals in Unexpected Ways . The Wall Street Journal Online Edition. http://online.wsj.com/article/0,,SB1020194636122710680.djm,00.html

  12. Ginde AA, Foianini A, Renner DM, Valley M, Camargo CAJr (2008) The challenge of CT and MRI imaging of obese individuals who present to the emergency department: a national survey. Obesity (Silver Spring) 16(11):2549–2551. doi:10.1038/oby.2008.410

    Article  Google Scholar 

  13. Uppot RN, Sahani DV, Hahn PF, Gervais D, Mueller PR (2007) Impact of obesity on medical imaging and image-guided intervention. AJR Am J Roentgenol 188(2):433–440. doi:10.2214/AJR.06.0409

    Article  PubMed  Google Scholar 

  14. Cho M, Kaidar-Person O, Szomstein S, Rosenthal RJ (2008) Emergency room visits after laparoscopic Roux-en-Y gastric bypass for morbid obesity. Surg Obes Relat Dis 4(2):104–109. doi:10.1016/j.soard.2007.05.008

    Article  PubMed  Google Scholar 

  15. Zingmond DS, McGory ML, Ko CY (2005) Hospitalization before and after gastric bypass surgery. JAMA 294(15):1918–1924. doi:10.1001/jama.294.15.1918

    Article  PubMed  CAS  Google Scholar 

  16. Gastrointestinal surgery for severe obesity: National Institutes of Health Consensus Development Conference Statement (1992) Am J Clin Nutr 55 (2 Suppl):615S-619S

    Google Scholar 

  17. Brolin RE (1996) Update: NIH consensus conference. Gastrointestinal surgery for severe obesity. Nutrition 12(6):403–404

    Article  PubMed  CAS  Google Scholar 

  18. Fisher BL, Schauer P (2002) Medical and surgical options in the treatment of severe obesity. Am J Surg 184(6B):9S–16S

    Article  PubMed  Google Scholar 

  19. Zhao Y, Encinosa W (2007) Bariatric Surgery Utilization and Outcomes in 1998 and 2004. Statistical Brief #23. http://www.hcup-us.ahrq.gov/reports/statbriefs/sb23.pdf. Agency for Healthcare Research and Quality, Rockville, MD

  20. Buckley O, Ward E, Ryan A, et al. (2009) European obesity and the radiology department. What can we do to help? Eur Radiol 19(2):298–309. doi:10.1007/s00330-008-1154-z

    Article  PubMed  CAS  Google Scholar 

  21. de Bucourt M, Streitparth F, Wonneberger U, Rump J, Teichgraber U (2011) Obese patients in an open MRI at 1.0 Tesla: image quality, diagnostic impact and feasibility. Eur Radiol 21(5):1004–1015. doi:10.1007/s00330-010-2005-2

    Article  PubMed  Google Scholar 

  22. Miller JC (2011) Imaging obese patients. Radiology rounds: a newsletter for referring physicians, vol 9. Massachusetts General Hospital, Boston

  23. Yanch JC, Behrman RH, Hendricks MJ, McCall JH (2009) Increased radiation dose to overweight and obese patients from radiographic examinations. Radiology 252(1):128–139. doi:10.1148/radiol.2521080141

    Article  PubMed  Google Scholar 

  24. Yamashita Y, Komohara Y, Takahashi M, et al. (2000) Abdominal helical CT: evaluation of optimal doses of intravenous contrast material—a prospective randomized study. Radiology 216(3):718–723

    PubMed  CAS  Google Scholar 

  25. Bae KT, Seeck BA, Hildebolt CF, et al. (2008) Contrast enhancement in cardiovascular MDCT: effect of body weight, height, body surface area, body mass index, and obesity. AJR Am J Roentgenol 190(3):777–784. doi:10.2214/AJR.07.2765

    Article  PubMed  Google Scholar 

  26. Heiken JP, Brink JA, McClennan BL, et al. (1995) Dynamic incremental CT: effect of volume and concentration of contrast material and patient weight on hepatic enhancement. Radiology 195(2):353–357

    PubMed  CAS  Google Scholar 

  27. Kondo H, Kanematsu M, Goshima S, et al. (2008) Abdominal multidetector CT in patients with varying body fat percentages: estimation of optimal contrast material dose. Radiology 249(3):872–877. doi:10.1148/radiol.2492080033

    Article  PubMed  Google Scholar 

  28. Schindera ST, Nelson RC, Lee ER, et al. (2007) Abdominal multislice CT for obese patients: effect on image quality and radiation dose in a phantom study. Acad Radiol 14(4):486–494. doi:10.1016/j.acra.2007.01.030

    Article  PubMed  Google Scholar 

  29. Huda W, Scalzetti EM, Levin G (2000) Technique factors and image quality as functions of patient weight at abdominal CT. Radiology 217(2):430–435

    PubMed  CAS  Google Scholar 

  30. Silva AC, Lawder HJ, Hara A, Kujak J, Pavlicek W (2010) Innovations in CT dose reduction strategy: application of the adaptive statistical iterative reconstruction algorithm. AJR Am J Roentgenol 194(1):191–199. doi:10.2214/AJR.09.2953

    Article  PubMed  Google Scholar 

Download references

Author information

Authors and Affiliations

Authors

Corresponding author

Correspondence to Laura R. Carucci.

Rights and permissions

Reprints and permissions

About this article

Cite this article

Carucci, L.R. Imaging obese patients: problems and solutions. Abdom Imaging 38, 630–646 (2013). https://doi.org/10.1007/s00261-012-9959-2

Download citation

  • Published:

  • Issue Date:

  • DOI: https://doi.org/10.1007/s00261-012-9959-2

Keywords