全顎的な症例

ABOUT
TO
IMPLANT

CASE実際の症例

オールオン4の症例

All-on-4芝公園は日本国内でも有数のAll-on-4の治療実績を誇っております。
当医院ではAll-on-4に掛かる所要時間を通常の半分以下で仮歯まで入れることが可能です。
All-on-4芝公園にてAll-on-4の処置を実施した実際の症例です。似たような症状でお悩みの方は一度ご相談ください。

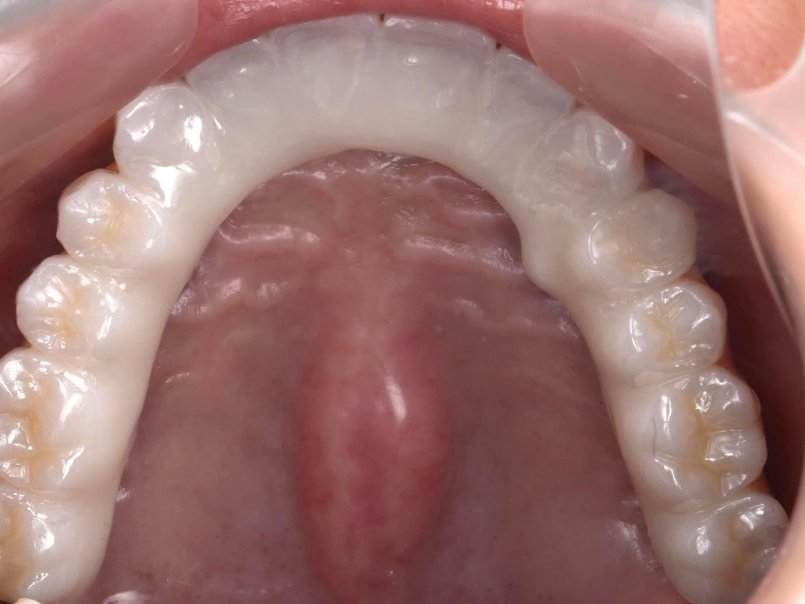
  • 症例1:入れ歯でお悩みの40代男性

    お悩み

    歯が抜けて発音しづらい。入れ歯を作っていたが、発音がさらにしづらい為全く使用していない。

    手術内容

    この患者様は上顎、下顎ともAll-on-4を同時に一日で行いました。
    手術の前に残っていた歯はグラグラしていた為、手術当日に抜歯。すぐにインプラントを埋入しました。骨が安定するまで3ヶ月ほど仮歯で過ごしていただき、その後セラミックスのきれいな歯を装着します。

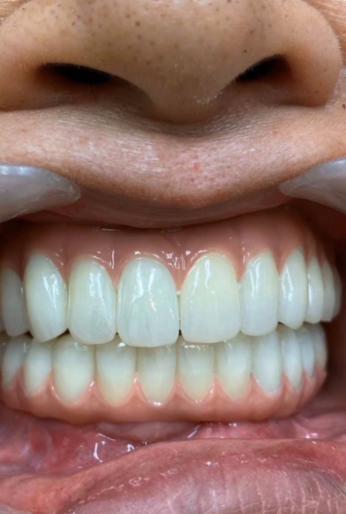
  • 症例2:上顎オールオン4の治療後

インプラント治療

  •   

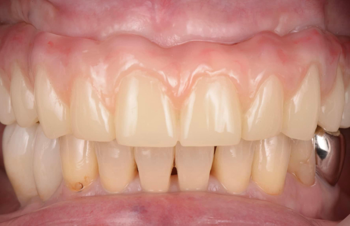
    症例1:上顎前歯の4本が動揺していた症例 (60代 男性)

          
    お悩み

    上の前歯で、強く咬めない。

     

    術前レントゲン、術後レントゲン。ジルコニアの単冠×4本の写真です。

審美治療

  • 症例1:審美治療の治療前と、治療後

インプラント埋入実績

1980年より豊富な診療実績数がございます。

【サイナスリフト症例数】

2000年より多くの症例実績がございます。

【All-on-4 or 6の症例数】

1993年より多くの症例実績がございます。

オールオン4のパンフレット
ダウンロード