1: ハイキック(栃木県)@\(^o^)/ 2016/01/27(水) 17:50:42.00 ID:CtvKdspD0●.net BE:886559449-PLT(22000) ポイント特典
“生肉”で全身寄生虫だらけに、10年以上も生のブタ肉を食べ続け…。
生食には寄生虫のリスクがついてまわるものだが、中国ではこのたび、生のブタ肉を食べ続けてきた女性が、
全身寄生虫に侵されていたことが判明し、医師を驚かせた。原因不明の痛みが発症したことから明らかになったという。
中国メディア・広州日報などによると、現在23歳の女性は、10歳の頃から生でブタ肉を食べるようになったそう。
彼女の生まれ故郷(雲南省デチェン・チベット族自治州雨崩村)では、祝日などの特別な日には新鮮なブタ肉に
調味料を混ぜて生のまま食べる習慣があり、彼女もそれにならい食べ続けてきたのだが、最近になって
原因不明の痛みに襲われるようになり、このたび医者にかかることにしたそうだ。
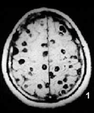
病院では頭部MRIと全身CTスキャンが行われたが、その検査結果は専門家さえも驚く衝撃的なものだった。
それもそのはず、女性の全身はすでに無数の寄生虫に侵されており、大脳や顔面の筋肉にさえも感染が見られるひどい
有様だったからだ。
医師の話では、女性の体内の寄生虫の一部はすでに死に、石灰化しており、全身の痛み以外に眼球突出や
網膜出血といった症状も見られたとのこと。治療はすぐに行われたものの、一部の寄生虫は体外に排出されず、
女性には後遺症が現れる可能性も否めないという。
http://www.narinari.com/Nd/20160135823.html
転載元:http://hayabusa3.2ch.sc/test/read.cgi/news/1453884642/
人間の痛みランキングが発表
http://blog.livedoor.jp/nwknews/archives/5002740.html
2: カーフブランディング(庭)@\(^o^)/ 2016/01/27(水) 17:51:48.33 ID:8YkB4n1B0.net
焼肉屋行ったらレバー半生で食べてる
ヤバイかな?
ヤバイかな?
215: タイガードライバー(茸)@\(^o^)/ 2016/01/27(水) 20:18:52.72 ID:29IWklPJ0.net
>>2
内臓はまじで虫いるから気を付けた方が良い
内臓はまじで虫いるから気を付けた方が良い
368: ボックス ◆6iJaDSI5YU (神奈川県)@\(^o^)/ 2016/01/27(水) 22:49:22.71 ID:qqohEyeO0.net
>>2
勝手に生で食ってるなら
医者で検査した方がいい
で、もう二度と生食はやめとけ
勝手に生で食ってるなら
医者で検査した方がいい
で、もう二度と生食はやめとけ
5: レインメーカー(愛知県)@\(^o^)/ 2016/01/27(水) 17:53:04.65 ID:oD+yNrDL0.net
そんなに生で食いたいなら一度冷凍して寄生虫殺せよ
10: テキサスクローバーホールド(長崎県)@\(^o^)/ 2016/01/27(水) 17:56:22.24 ID:IW8RXLiE0.net
きれいにサシが入ってんな
11: マシンガンチョップ(九州地方)@\(^o^)/ 2016/01/27(水) 17:57:00.44 ID:bHlUEjK4O.net
中国は、スケールが違うな・・・。
14: タイガースープレックス(宮城県)@\(^o^)/ 2016/01/27(水) 18:02:09.55 ID:NSiQbpVT0.net
ブタ肉はよく焼いて食べるんやで(ニッコリ)
16: 垂直落下式DDT(dion軍)@\(^o^)/ 2016/01/27(水) 18:03:20.11 ID:yNfcRcJE0.net
豚のレバ刺しとか鶏刺しとか食ってる奴は覚悟しろよ
19: フェイスクラッシャー(中国地方)@\(^o^)/ 2016/01/27(水) 18:04:26.32 ID:lN8slU8s0.net
>>16
規制ないからって鳥刺し出してる店って大体食中毒で営業停止受けてるイメージ
鳥豚なんて雑菌多すぎで生で食えるような食材じゃない
規制ないからって鳥刺し出してる店って大体食中毒で営業停止受けてるイメージ
鳥豚なんて雑菌多すぎで生で食えるような食材じゃない
30: バックドロップ(東京都)@\(^o^)/ 2016/01/27(水) 18:14:02.46 ID:KQ0HF0Vp0.net
>>16
鳥刺し美味かったけど、そのあと1週間トイレが友達になって二度と行くかと思ったw
鳥刺し美味かったけど、そのあと1週間トイレが友達になって二度と行くかと思ったw
35: フェイスクラッシャー(中国地方)@\(^o^)/ 2016/01/27(水) 18:17:11.68 ID:lN8slU8s0.net
>>30
鶏は雑菌レベルがすごすぎて、生で食うと大体そうなる
それなのに”新鮮鳥刺し”なんて店で取り扱ってるところが結構あるな
鶏は雑菌レベルがすごすぎて、生で食うと大体そうなる
それなのに”新鮮鳥刺し”なんて店で取り扱ってるところが結構あるな
46: バックドロップ(東京都)@\(^o^)/ 2016/01/27(水) 18:25:30.57 ID:KQ0HF0Vp0.net
>>35
現存してるのがすごいな
俺が連れて行かれたのなんてもう10年以上前だわ
現存してるのがすごいな
俺が連れて行かれたのなんてもう10年以上前だわ
50: フェイスクラッシャー(中国地方)@\(^o^)/ 2016/01/27(水) 18:27:27.56 ID:lN8slU8s0.net
>>46
新鮮なら生でも食えると思ってる連中の多さが原因だろうな
新鮮なら生でも食えると思ってる連中の多さが原因だろうな
229: キングコングニードロップ(やわらか銀行)@\(^o^)/ 2016/01/27(水) 20:26:02.93 ID:DpnUpBpQ0.net
>>35
鹿児島でいつも鳥刺し食ってるわ
鹿児島でいつも鳥刺し食ってるわ
242: マシンガンチョップ(新疆ウイグル自治区)@\(^o^)/ 2016/01/27(水) 20:44:32.75 ID:5SDWXv6D0.net
>>35
明日、福岡で鳥刺身食おうと思ってるんだがやめた方がいいのかな
明日、福岡で鳥刺身食おうと思ってるんだがやめた方がいいのかな
248: フェイスクラッシャー(中国地方)@\(^o^)/ 2016/01/27(水) 20:48:06.65 ID:lN8slU8s0.net
>>242
辞めとけとしか言いようがない
運よく何ともない人もいるんだろうが博打うってまで食べるような食材じゃない
辞めとけとしか言いようがない
運よく何ともない人もいるんだろうが博打うってまで食べるような食材じゃない
250: シャイニングウィザード(庭)@\(^o^)/ 2016/01/27(水) 20:49:07.61 ID:4ptOliVP0.net
>>242
いや気にし過ぎだよ
食え食え
いや気にし過ぎだよ
食え食え
334: マシンガンチョップ(愛知県)@\(^o^)/ 2016/01/27(水) 22:03:09.83 ID:spnijSmq0.net
>>35
鳥刺しばっか食ってる鹿児島のじーちゃん、今年で89歳だけど元気元気
鳥刺しばっか食ってる鹿児島のじーちゃん、今年で89歳だけど元気元気
298: キングコングニードロップ(やわらか銀行)@\(^o^)/ 2016/01/27(水) 21:22:27.40 ID:lH1GqVk40.net
>>30
九州、特に南部は保健所が「鶏と生で食べると食中毒になるから食べるのを止めなさい」って警告してるのに毎年食中毒事件起こして
呆れられてる位だからな
九州、特に南部は保健所が「鶏と生で食べると食中毒になるから食べるのを止めなさい」って警告してるのに毎年食中毒事件起こして
呆れられてる位だからな
20: 逆落とし(アラビア)@\(^o^)/ 2016/01/27(水) 18:04:49.20 ID:u/m+JXmF0.net
豚肉や生の川魚なんかを焼き不足でレアで食べちゃったりすると少なからず居るのかな?
誰しも一度や二度は食べちゃってるだろ
誰しも一度や二度は食べちゃってるだろ
24: 魔神風車固め(チベット自治区)@\(^o^)/ 2016/01/27(水) 18:07:46.55 ID:+Fe0ggjO0.net
画像はジョークだろ?なぁ…?
25: キャプチュード(SB-iPhone)@\(^o^)/ 2016/01/27(水) 18:09:25.49 ID:30wiXWyT0.net
千年以上前に砂地域ではそれを見越して豚禁止したってのに
なにやってんだ馬鹿中国人w
なにやってんだ馬鹿中国人w
26: アトミックドロップ(dion軍)@\(^o^)/ 2016/01/27(水) 18:10:18.78 ID:R+rMcRBW0.net
やっぱ中国はすげえわw
27: ドラゴンスクリュー(空)@\(^o^)/ 2016/01/27(水) 18:10:39.85 ID:Cb6rOfJC0.net
こうなるまで・・・意外と共存できるもんなのね オエーーー
29: 河津落とし(茸)@\(^o^)/ 2016/01/27(水) 18:12:49.85 ID:QFwY8aER0.net
もう寄生虫が本体じゃん
34: ヒップアタック(埼玉県)@\(^o^)/ 2016/01/27(水) 18:17:04.67 ID:UDkNLif10.net
怪我したらそこから寄生虫がうようよと…
45: フェイスロック(宮城県)@\(^o^)/ 2016/01/27(水) 18:25:06.71 ID:197wqN4z0.net
>>34
やめろおおおおおおおおおおおおお
やめろおおおおおおおおおおおおお
36: オリンピック予選スラム(大阪府)@\(^o^)/ 2016/01/27(水) 18:18:32.03 ID:qsVybX0Q0.net
117: トペ スイシーダ(dion軍)@\(^o^)/ 2016/01/27(水) 19:04:35.85 ID:Cup0NSXw0.net
>>36
個人的に貴志祐介の最高傑作
生理的嫌悪感の極北だわあれは
個人的に貴志祐介の最高傑作
生理的嫌悪感の極北だわあれは
43: フォーク攻撃(東京都)@\(^o^)/ 2016/01/27(水) 18:23:50.91 ID:h1z10e6J0.net
こんな隅々にまで寄生されててどうやって駆除すんの??
47: レッドインク(新疆ウイグル自治区)@\(^o^)/ 2016/01/27(水) 18:25:33.81 ID:ki8vSsdR0.net
>>43
できない。
できない。
243: 足4の字固め(愛知県)@\(^o^)/ 2016/01/27(水) 20:44:57.67 ID:GFZ6P9E+0.net
>>43
マジレスすると薬だろ。
案外簡単に駆除できるよ。
マジレスすると薬だろ。
案外簡単に駆除できるよ。
49: キン肉バスター(神奈川県)@\(^o^)/ 2016/01/27(水) 18:26:49.81 ID:Ez0T8psF0.net
レントゲンも良いんだけど
外見的に寄生虫解るくらいだったのかそうでもなかったのかが気になる
って言うかここまで寄生虫に寄生されてると
最早この人は人間の部分より寄生虫の方が多数を占めているのではなかろうか
外見的に寄生虫解るくらいだったのかそうでもなかったのかが気になる
って言うかここまで寄生虫に寄生されてると
最早この人は人間の部分より寄生虫の方が多数を占めているのではなかろうか
53: サッカーボールキック(静岡県)@\(^o^)/ 2016/01/27(水) 18:28:39.83 ID:BXpzO9na0.net
こんな状態でも人間は生きてられるんだな
66: 目潰し(関東地方)@\(^o^)/ 2016/01/27(水) 18:32:59.14 ID:+TW9ImHmO.net
>>53
顔の真ん中に穴あいてる人とかいるからね
顔の真ん中に穴あいてる人とかいるからね
56: ナガタロックII(やわらか銀行)@\(^o^)/ 2016/01/27(水) 18:29:32.78 ID:605mjIvg0.net
高級牛肉ハンバーグをレアで食べるのをテレビで見た嫁がどや顔で出してきたのが
豚挽き肉のレアハンバーグだったよ
豚挽き肉のレアハンバーグだったよ
60: 稲妻レッグラリアット(大阪府)@\(^o^)/ 2016/01/27(水) 18:31:07.33 ID:mM6I2xDt0.net
>>56
でも牛であっても挽肉はしっかり火入れないと怖い
でも牛であっても挽肉はしっかり火入れないと怖い
61: ファイナルカット(石川県)@\(^o^)/ 2016/01/27(水) 18:31:09.35 ID:KmdeGs9z0.net
うそやん・・・寄生虫ってこんな体中にびっしり寄生するものなんか・・・
75: ハーフネルソンスープレックス(内モンゴル自治区)@\(^o^)/ 2016/01/27(水) 18:42:32.25 ID:IWHHe52yO.net
中国でフナだか、鯉だか食って脳味噌やられてるニュース
去年とかやろ
こわいわ
去年とかやろ
こわいわ
299: エクスプロイダー(SB-iPhone)@\(^o^)/ 2016/01/27(水) 21:24:45.18 ID:Q0LDJQxo0.net
77: ツームストンパイルドライバー(千葉県)@\(^o^)/ 2016/01/27(水) 18:42:41.95 ID:o7M83aye0.net
うそくさい
82: TEKKAMAKI(千葉県)@\(^o^)/ 2016/01/27(水) 18:46:05.20 ID:/2YWOzZX0.net
>彼女の生まれ故郷(雲南省デチェン・チベット族自治州雨崩村)では、祝日などの特別な日には新鮮なブタ肉
この女性だけじゃなく村のみんな同じレベルなんじゃないのか?
この女性だけじゃなく村のみんな同じレベルなんじゃないのか?
246: 逆落とし(アラビア)@\(^o^)/ 2016/01/27(水) 20:46:50.46 ID:u/m+JXmF0.net
>>82
そうだな…
そうだな…
85: ファイヤーボールスプラッシュ(チベット自治区)@\(^o^)/ 2016/01/27(水) 18:47:09.61 ID:DY4zu3te0.net
こうなってくると、もはや彼女が寄生虫
86: 足4の字固め(神奈川県)@\(^o^)/ 2016/01/27(水) 18:47:33.58 ID:8g+awgrO0.net
ここまで寄生されたら普通死にそうなものだけどな
89: シューティングスタープレス(dion軍)@\(^o^)/ 2016/01/27(水) 18:48:18.12 ID:6hNMjVYb0.net
腕を切り落とされても宿主を守る為に寄生虫が切り口からモゾモゾ出てきて腕の形になりそう
90: ジャンピングエルボーアタック(京都府)@\(^o^)/ 2016/01/27(水) 18:49:05.74 ID:mXfvu/2J0.net
あり得ないだろ
お前ら何の根拠もない注釈に惑わされ過ぎ
お前ら何の根拠もない注釈に惑わされ過ぎ
104: ニールキック(dion軍)@\(^o^)/ 2016/01/27(水) 18:54:43.07 ID:mx7GWsnf0.net
宗教って生活の知恵でもありますよ
イスラムが豚肉を禁止するにはワケがある
これなんだよね
イスラムが豚肉を禁止するにはワケがある
これなんだよね
110: シューティングスタープレス(dion軍)@\(^o^)/ 2016/01/27(水) 18:58:59.93 ID:6hNMjVYb0.net
>>104
豚肉禁止する神様より肉は焼かせる神様が支持を得て欲しかった
豚肉禁止する神様より肉は焼かせる神様が支持を得て欲しかった
207: ときめきメモリアル(茸)@\(^o^)/ 2016/01/27(水) 20:13:59.45 ID:WnY4/WjP0.net
>>110
馬鹿が生食するのを見越してたんだよ
馬鹿が生食するのを見越してたんだよ
105: リバースネックブリーカー(SB-iPhone)@\(^o^)/ 2016/01/27(水) 18:56:09.08 ID:7fMtW/HB0.net
豚の生肉触れた箸でさえ危ねえからな
よくもまあ生肉食う気になるわ
よくもまあ生肉食う気になるわ
108: ショルダーアームブリーカー(大阪府)@\(^o^)/ 2016/01/27(水) 18:58:10.18 ID:/iDCMro00.net
どの虫も筋繊維の方向に沿いすぎてる&均等に分布しすぎてて何か嘘くさいな
114: バーニングハンマー(北海道)@\(^o^)/ 2016/01/27(水) 19:01:22.37 ID:oJHooFPn0.net
なんか腹痛なってきた(´・ω・`)
119: エルボードロップ(やわらか銀行)@\(^o^)/ 2016/01/27(水) 19:05:09.53 ID:KbM36yO20.net
これだけ寄生虫に支配されてると思考まで操られてそうだ
128: リキラリアット(SB-iPhone)@\(^o^)/ 2016/01/27(水) 19:18:13.19 ID:pyzOU9xD0.net
>>119
寄生虫の快適な環境の為に
意外にもバランスの良い食事してそう
寄生虫の快適な環境の為に
意外にもバランスの良い食事してそう
131: トペ コンヒーロ(愛知県)@\(^o^)/ 2016/01/27(水) 19:20:50.23 ID:Zz8/3gVf0.net
138: スパイダージャーマン(群馬県)@\(^o^)/ 2016/01/27(水) 19:26:41.53 ID:ak+aCnXz0.net
>>131
ヒーーッ!!
ヒーーッ!!
145: ファルコンアロー(やわらか銀行)@\(^o^)/ 2016/01/27(水) 19:30:20.96 ID:JAeWHBKV0.net
>>131
上は足のスキャンか
上は足のスキャンか
203: 河津掛け(SB-iPhone)@\(^o^)/ 2016/01/27(水) 20:12:50.65 ID:GbvwFEt20.net
>>145
頭だよ
頭だよ
141: ラダームーンサルト(catv?)@\(^o^)/ 2016/01/27(水) 19:28:33.11 ID:PZ0vSHft0.net
184: ファイヤーボールスプラッシュ(東京都)@\(^o^)/ 2016/01/27(水) 20:05:05.42 ID:v1tYqULG0.net
>>141
すげえな・・・
すげえな・・・
355: ファイナルカット(石川県)@\(^o^)/ 2016/01/27(水) 22:34:58.21 ID:KmdeGs9z0.net
>>141
うぎゃああああああああああ
うぎゃああああああああああ
144: アンクルホールド(dion軍)@\(^o^)/ 2016/01/27(水) 19:29:53.14 ID:IJLF+mv20.net
こおゆうの見るとピンセットとかで一匹ずつ取り出したい症状になるやつおれ以外にいる?
148: 膝靭帯固め(愛知県)@\(^o^)/ 2016/01/27(水) 19:33:39.90 ID:8sd8oiyJ0.net
祝日に生の豚肉を食べるようにコントロールしてるのが寄生虫なんだろ?!
152: フェイスクラッシャー(中国地方)@\(^o^)/ 2016/01/27(水) 19:37:45.52 ID:lN8slU8s0.net
>>148
なにそのハリガネムシ
なにそのハリガネムシ
260: ミッドナイトエクスプレス(SB-iPhone)@\(^o^)/ 2016/01/27(水) 20:55:40.38 ID:VRAgc/qA0.net
>>148
どっちが先なの?
どっちが先なの?
159: マシンガンチョップ(SB-iPhone)@\(^o^)/ 2016/01/27(水) 19:43:04.45 ID:mrt3/ZUy0.net
つーかお前ら肉焼いてても
この寄生虫の死骸食ってるようなもんだぜ
この寄生虫の死骸食ってるようなもんだぜ
165: ラダームーンサルト(チベット自治区)@\(^o^)/ 2016/01/27(水) 19:54:45.77 ID:OwO//So20.net
>>159
そのために焼くんだが?
そのために焼くんだが?
403: エクスプロイダー(京都府)@\(^o^)/ 2016/01/27(水) 23:21:02.62 ID:eHa0FvAn0.net
>>159
ほとんどの米に虫の卵が…
ほとんどの米に虫の卵が…
181: テキサスクローバーホールド(茸)@\(^o^)/ 2016/01/27(水) 20:04:26.90 ID:b8LxTP3x0.net
最近は生で食える豚肉て多くね?
無菌豚
無菌豚
383: 河津落とし(catv?)@\(^o^)/ 2016/01/27(水) 23:02:41.94 ID:S2ALgMLN0.net
>>181 本当の無菌豚は大学レベルの実験室にしかいない。
SPF豚ってのが売られているけれど
SPF豚=特定病原菌不在豚
特定病原菌は
オーエスキー病、豚流行性下痢症、伝染性下痢症、萎縮性鼻炎、マイコプラズマ肺炎、豚赤痢、サルモネラ・コレラ・スイス感染症、トキソプラズマ病
豚繁殖・呼吸障害症候群、豚胸膜肺炎、内・外部寄生虫
上記以外の菌などは感染している可能性がある。
特定病原菌の中で人間にうつるのはトキソプラズマとサルモネラと寄生虫ぐらい。
寄生虫は防げるけれどE型肝炎の危険があるし、
食中毒(大腸菌、ノロウイルス、カンピロバクターなど)もあり得る。
豚は人間に似ている、雑食だし内臓や肌なども似ている、
そのせいで人間と共通の感染症が多い。
豚は生では食べられない。
SPF豚ってのが売られているけれど
SPF豚=特定病原菌不在豚
特定病原菌は
オーエスキー病、豚流行性下痢症、伝染性下痢症、萎縮性鼻炎、マイコプラズマ肺炎、豚赤痢、サルモネラ・コレラ・スイス感染症、トキソプラズマ病
豚繁殖・呼吸障害症候群、豚胸膜肺炎、内・外部寄生虫
上記以外の菌などは感染している可能性がある。
特定病原菌の中で人間にうつるのはトキソプラズマとサルモネラと寄生虫ぐらい。
寄生虫は防げるけれどE型肝炎の危険があるし、
食中毒(大腸菌、ノロウイルス、カンピロバクターなど)もあり得る。
豚は人間に似ている、雑食だし内臓や肌なども似ている、
そのせいで人間と共通の感染症が多い。
豚は生では食べられない。
188: ドラゴンスクリュー(石川県)@\(^o^)/ 2016/01/27(水) 20:08:04.71 ID:l+smNzjr0.net
レントゲンなのに骨写ってないな
307: ファイヤーボールスプラッシュ(チベット自治区)@\(^o^)/ 2016/01/27(水) 21:29:02.42 ID:C+zIJqFQ0.net
>>188
MRI
MRI
193: ネックハンギングツリー(千葉県)@\(^o^)/ 2016/01/27(水) 20:09:31.31 ID:VaT2XqG90.net
前も脳に蟲入ってスカスカなアホいなかったっけ
197: クロスヒールホールド(神奈川県)@\(^o^)/ 2016/01/27(水) 20:11:25.30 ID:JoPmafH00.net
>>193
キムチならあったが
キムチならあったが
221: スターダストプレス(家)@\(^o^)/ 2016/01/27(水) 20:21:25.33 ID:SHi6sA6t0.net
いやでもドイツ行ったときは豚ステーキの焼き加減聞いてきたな 一応ミディアムで頼んだが半生だった
ドイツは豚よく食うからちゃんとしてるとは思うが
ドイツは豚よく食うからちゃんとしてるとは思うが
227: アイアンフィンガーフロムヘル(チベット自治区)@\(^o^)/ 2016/01/27(水) 20:24:54.60 ID:DDFO9TvF0.net
>>221
ミディアムは半生だろ?全体を焼いてほしけりゃウェルダンかと
ミディアムは半生だろ?全体を焼いてほしけりゃウェルダンかと
228: ムーンサルトプレス(沖縄県)@\(^o^)/ 2016/01/27(水) 20:25:21.57 ID:/5Q4BE680.net
>>221
店で出す肉なら一旦冷凍されてるんじゃね
店で出す肉なら一旦冷凍されてるんじゃね
226: キン肉バスター(dion軍)@\(^o^)/ 2016/01/27(水) 20:23:40.20 ID:BOe3h3HA0.net
鶏レバーのカンピロはマジで効いたw
真夏に4日くらい下痢してた
それ以外生肉は食ってない
真夏に4日くらい下痢してた
それ以外生肉は食ってない
254: トペ コンヒーロ(愛知県)@\(^o^)/ 2016/01/27(水) 20:51:53.94 ID:Zz8/3gVf0.net
259: アトミックドロップ(dion軍)@\(^o^)/ 2016/01/27(水) 20:53:47.12 ID:R+rMcRBW0.net
>>254
もうここまで来ると寄生虫アートだな
もうここまで来ると寄生虫アートだな
286: キングコングニードロップ(やわらか銀行)@\(^o^)/ 2016/01/27(水) 21:13:57.45 ID:lH1GqVk40.net
またかよ
この前は生の蟹を10年位食い続けて脳みそが寄生虫だらけになったヤツが居たろ
この前は生の蟹を10年位食い続けて脳みそが寄生虫だらけになったヤツが居たろ
309: キャプチュード(チベット自治区)@\(^o^)/ 2016/01/27(水) 21:30:18.53 ID:nTUBqLt30.net
320: ネックハンギングツリー(神奈川県)@\(^o^)/ 2016/01/27(水) 21:42:18.32 ID:ITI+ZyKT0.net
中はこんなだけど、見た目は普通なのかね?モモがウネウネ動いてたりするんかな
324: グロリア(やわらか銀行)@\(^o^)/ 2016/01/27(水) 21:45:39.51 ID:yojpueJK0.net
そう言えば昔女がペット飼わない理由を
ウサギだか死んだ時毛穴から虫が這い出して来たからとか言ってた
うげえ
ウサギだか死んだ時毛穴から虫が這い出して来たからとか言ってた
うげえ
335: 毒霧(大阪府)@\(^o^)/ 2016/01/27(水) 22:05:27.16 ID:3ngV3oip0.net
397: 栓抜き攻撃(新疆ウイグル自治区)@\(^o^)/ 2016/01/27(水) 23:11:52.90 ID:134+4geW0.net
これは怖すぎ
こんな感じの切なくなる画像下さい……
【失笑!】思わず吹いた秀逸なレス集合『タイの文字』
【失笑!】思わず吹いた秀逸なレス集合『ポポロン工場』
【やるおスレ】原始時代に飛ばされた状態から携帯電話が作れるか
仏教・神道で面白い話ないー?