カワイソウだねえ、この人。
高校生だけど、同じ症状の女の子いる。
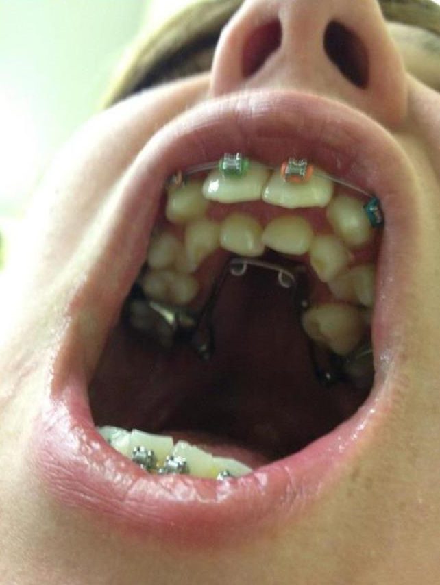
画像加工じゃないよ。
>>oliviasreddit
同じく。
友人で同様の症状抱えてる奴がいるね。
>>qxw
ウチの親父も。
子供の頃は、家が貧乏だったからそのまま。
で、今に至る。
他は至って普通の見た目の子なんだけどね。
>>
話す事は普通に出来るの?
>>HeyFunkyPianist
いや、矯正具の性だと思うけど、もつれた様な喋り方。
>>
矯正具関係ないだろ。
余分な歯が原因だ。
エイリアン思い出した。
つ
>>bumhead81
エイリアンも、話す時は舌がもつれるのか。
歯磨きどないすんねん・・・。
>>
糸ようじなんか更に・・・。
>>mondodismo
咀嚼は百人力!
舌噛んだら二倍痛てえ・・・。
フェ○の時は要注意。
>>
奴がゲイじゃなければ良いけどw
別に奇形とかじゃないんだよ。
同じ様な症状抱えてた人を3人知ってるけど、みんな永久歯に生え変わる時に裏側の歯を抜いちゃったってさ。
お医者さんは、口蓋に空間を持たせると同時に、あごの成長に沿って後ろの歯を前に押し出すように仕向けてるね。

>>SammyGreen
ほほう・・・。
自分は歯科学校の生徒だけど、この子の上アゴは狭い。
口蓋の矯正具が内側にも嵌めてあるじゃん。
レントゲン写真は、重なった歯でビッシリって感じだろうね。
ingrown teeth(食い込み歯)の症状でもないね。
普通の歯が内側に生えてきちゃってるだけだから、矯正師はもっと空間を口蓋内に作ろうとしてるんでしょ。
This guy at school has some ingrown teeth
高校生だけど、同じ症状の女の子いる。
画像加工じゃないよ。
>>oliviasreddit
同じく。
友人で同様の症状抱えてる奴がいるね。
>>qxw
ウチの親父も。
子供の頃は、家が貧乏だったからそのまま。
で、今に至る。
他は至って普通の見た目の子なんだけどね。
>>
話す事は普通に出来るの?
>>HeyFunkyPianist
いや、矯正具の性だと思うけど、もつれた様な喋り方。
>>
矯正具関係ないだろ。
余分な歯が原因だ。
エイリアン思い出した。
つ
>>bumhead81
エイリアンも、話す時は舌がもつれるのか。
歯磨きどないすんねん・・・。
>>
糸ようじなんか更に・・・。
>>mondodismo
咀嚼は百人力!
舌噛んだら二倍痛てえ・・・。
フェ○の時は要注意。
>>
奴がゲイじゃなければ良いけどw
別に奇形とかじゃないんだよ。
同じ様な症状抱えてた人を3人知ってるけど、みんな永久歯に生え変わる時に裏側の歯を抜いちゃったってさ。
お医者さんは、口蓋に空間を持たせると同時に、あごの成長に沿って後ろの歯を前に押し出すように仕向けてるね。
>>SammyGreen
ほほう・・・。
自分は歯科学校の生徒だけど、この子の上アゴは狭い。
口蓋の矯正具が内側にも嵌めてあるじゃん。
レントゲン写真は、重なった歯でビッシリって感じだろうね。
ingrown teeth(食い込み歯)の症状でもないね。
普通の歯が内側に生えてきちゃってるだけだから、矯正師はもっと空間を口蓋内に作ろうとしてるんでしょ。
This guy at school has some ingrown teeth